درباره بیماری نورینوم آکوستیک چه اطلاعاتی دارید؟

نورینوم آکوستیک

نورینوم آکوستیک که با عنوان شوآنوم وستیبولار نیز شناخته می شود، تومور غیر سرطانی است که معمولا روند رشد آهسته ای دارد و در قسمت اصلی عصب شنوایی (اعصابی که از گوش میانی به مغز می رسد) ایجاد می شود.

شاخه های این عصب مستقیما بر روی تعادل و شنوایی تاثیر می گذارند و فشار وارده از این اختلال می تواند باعث کاهش شنوایی، برهم خوردن تعادل و احساس صدا در گوش شود.

نورینوم آکوستیک، معمولا از سلول های شوآن که عصب شنوایی را پوشش می دهند، آغاز می شود و روند پیشرفت آهسته ای دارد. به ندرت دیده می شود که این تومور به حدی بزرگ شود که بتواند به مغز فشار بیاورد و منجر به بروز مشکل شود.

درمان نورینوم آکوستیک شامل بررسی و چکاپ های منظم، رادیوتراپی و جراحی می باشد.

درباره بیماری نورینوم آکوستیک چه اطلاعاتی دارید؟

درباره بیماری نورینوم آکوستیک چه اطلاعاتی دارید؟

نورینوم آکوستیک یا شوانوم وستیبولار

 وقتی برای بیماری تومور شنوائی تشخیص داده می شود، سئوالاتی درباره خود تومور و نیز نحوه درمان آن مطرح می شود. تومور به خودی خود بسیار نادر است. تنها 2 تا 3 هزار مورد جدید در هر سال تشخیص داده می شود. این تعداد تقریباً یک در هر صد هزار نفر در سال است. آکوستیک نروما (AN) در 95 % موارد یک طرفه و حدود 5 % دو طرفه است. نوع دوطرفه آن بسیار نادر رخ می دهد که مرتبط با یک سندرم ارثی به نام نوروفیبرو ماتوزیس نوع دوم (NF2) می باشد. تومور آکوستیک تومور مغزی نیست. این تومور در واقع یک تومور عصب تعادل است و نام علمی تر آن شوانوم وستیبلار می باشد.

تومور در فضای بین مغز و گوش که زاویه پلی مخچه نامیده می شود، ایجاد می شود. آکوستیک نروما جزء تومورهای خوش خیم است اما خطر این تومور به دلیل رشد آن در فضای حساس و فشار آوردن آن به ساختارهای حیاتی مثل اعصاب جمجمه، مغز و ساقه مغز است. شایع ترین نشانه تومور شامل کاهش شنوائی در گوش مبتلا، وزوز گوش و عدم تعادل می باشد. برای بدست آوردن بهترین نتیجه، تشخیص صحیح به منظور انتخاب بهترین روش درمان در این اختلال ضروری است. برای تشخیص نورینوم آکوستیک انجام ام آر آی توصیه می شود. این روش تصویر برداری نه تنها به تشخیص کمک می کند بلکه وسعت و عوارض احتمال مانند هیدروسفالی را مشخص می کند.

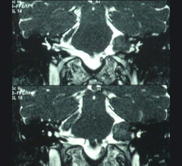
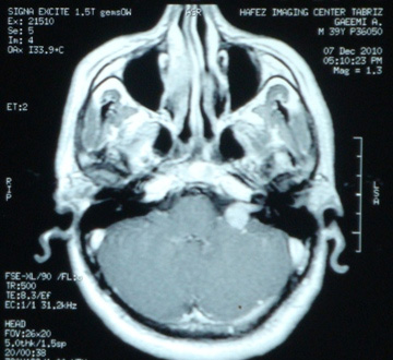
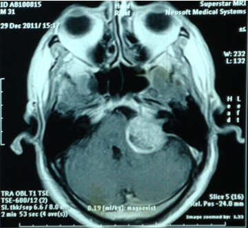
نمونه های زیر MRI تعدادی از بیمارانی است که توسط دکتر اصغری جراحی شده اند:

علائم و نشانه های نورینوم آکوستیک

ممکن است علائم و نشانه های نورینوم آکوستیک تا چند سال ادامه پیدا کند. فشار این تومور بر روی اعصاب کنترل کننده عضلات و احساس صورت، رگ های خونی مجاور و ساختار مغز می تواند منجر به بروز مشکلاتی شود.

با رشد تومور، شاهد بروز علائم قابل توجه و شدیدی خواهیم بود.

شایع ترین علائم عبارتند از:

  • کاهش شنوایی، که البته تدریجی است و ممکن است در برخی افراد به طور ناگهانی ظاهر شود
  • شنیده شدن صدا در گوش درگیر
  • کاهش تعادل
  • سرگیجه
  • بی حس شدن صورت و در برخی موارد ضعف در حرکت عضلات

در صورت تغییر در میزان شنوایی، زنگ زدن گوش و یا بر هم خوردن تعادل حتما باید به پزشک مراجعه شود.

تشخیص اولیه و به موقع نورینوم آکوستیک از بزرگ شدن تومور و بروز مشکلات بعدی مانند از دست دادن شنوایی و  یا تجمع مایع در جمجمه که بسیار خطرناک است پیشگیری می کند.

علت بروز نورینوم آکوستیک

علت بروز نورینوم آکوستیک می تواند تغییر در عملکرد ژن در کروموزوم 21 باشد. در حالت طبیعی، این ژن با تولید پروتئین مهار کننده تومور، رشد سلول های شوآن پوشش دهنده اعصاب را کنترل می کند. علت اصلی تغییر عملکرد این ژن به طور قطعی مشخص نیست.

نوروفیبروماتوز 21، اصلی ترین ریسک فاکتور موثر در بروز نورینوم آکوستیک می باشد. مشخصه اصلی این بیماری، رشد تومورهای غیر سرطانی بر روی اعصاب مسئول حفظ تعادل در دو سمت سر و یا سایر اعصاب می باشد.

نوروفیبروماتوز 21، اختلال کروموزومی است که می تواند از یکی از والدین به ارث برسد.

دکتر علی محمد اصغری متخصص گوش و حلق و بینی با استفاده از روش های درمانی مجهز به درمان بیماری ها می پردازد . جهت مشاوره با متخصص گوش و حلق و بینی می توانید با شماره های 22374050 – 22375902 تماس حاصل فرمایید یا به آدرس اینستاگرام دکتر علی محمد اصغری مراجعه نمایید .

تشخیص نورینوم آکوستیک

معاینه فیزیکی از جمله معاینه گوش، اولین راه تشخیص نورینوم آکوستیک می باشد. این اختلال معمولا در مراحل اولیه به سختی تشخیص داده می شود چرا که علائم به مرور زمان ظاهر می شوند.

پزشک هم چنین به بررسی موارد زیر نیز خواهد پرداخت:

  • زمان شروع علائم
  • مدت زمان ظاهر شدن علائم
  • شدت علائم
  • ابتلای سایر اعضای خانواده به این بیماری
  • بررسی تناوب سردرد، در زمان حال و گذشته

از جمله تست های تشخیصی می توان به موارد زیر اشاره کرد:

  • شنوایی سنجی. در این تست، میزان شنوایی در درجات مختلف صدا بررسی می شود.
  • تست های تصویربرداری. MRI از جمله تست هایی است که به تشخیص قطعی نورینوم آکوستیک و تومورهای کوچک در حد یک تا دو میلی متر کمک می کند. سی تی اسکن نیز می تواند به تشخیص این بیماری کمک کند، اما تومورهای کوچک را شناسایی نمی کند.

درمان نورینوم آکوستیک

درمان نورینوم آکوستیک با توجه به اندازه و رشد تومور، شرایط جسمانی بیمار و علائم و نشانه های موجود در نظر گرفته می شود. در درمان این اختلال، سه روش چکاپ منظم، رادیوتراپی و جراحی از سوی پزشک تجویز می شود، که به بررسی هر یک خواهیم پرداخت.

  • بررسی و چکاپ منظم

در صورتی که اندازه تومور کوچک باشد و یا روند رشد و پیشرفت آهسته ای داشته باشد، معمولا شاهد بروز علائمی نخواهیم بود و پزشک ترجیح می دهد که بیمار تحت نظر باشد، به خصوص افراد بزرگسالی که از لحاظ جسمانی آماده دریافت سایر روش های درمانی نیستند.

توصیه می شود بیمار هر شش تا دوازده ماه یک بار جهت چکاپ و تست های شنوایی به پزشک مراجعه کند، تا روند رشد تومور مشخص شود. در صورتی که تومور رشد سریعی داشته باشد و یا منجر به بروز علائم تهاجمی شده باشد، روش های درمانی در نظر گرفته خواهد شد.

درباره بیماری نورینوم آکوستیک چه اطلاعاتی دارید؟

درباره بیماری نورینوم آکوستیک چه اطلاعاتی دارید؟

  • جراحی

ممکن است در درمان نورینوم آکوستیک نیاز به جراحی باشد. پزشک با توجه به اندازه تومور، وضعیت شنوایی و سایر فاکتورها، بهترین گزینه جراحی را در نظر خواهد گرفت.

هدف از جراحی،

  • برداشت تومور
  • محافظت از اعصاب صورت به منظور پیشگیری از فلج صورت
  • حفظ شنوایی تا حد امکان

می باشد.

جراحی تحت بیهوشی عمومی انجام می شود و شامل برداشت تومور از طریق گوش میانی و یا جمجمه می باشد.

نکته ای که باید به آن اشاره کنیم این است که در برخی موارد امکان برداشت کامل تومور وجود ندارد. به عنوان مثال، زمانی که تومور در نزدیکی بخش های مهم مغز و یا اعصاب صورت قرار گرفته باشد.

گاهی ممکن است برداشت تومور به روش جراحی باعث تشدید علائم شود، زمانی که شنوایی و یا اعصاب صورت هنگام جراحی آسیب ببیند.

  • رادیوتراپی

پرتوجراحی، از جمله روش های رادیوتراپی است و زمانی توصیه می شود که اندازه تومور کوچک باشد و یا این که بیمار بنا به دلایل مربوط به سلامتی، قادر به تحمل جراحی نباشد. در این روش، پرتو گاما در یک دوز مشخص به ناحیه مورد نظر تابیده می شود، بی آن که آسیبی به بافت های اطراف وارد شود.

هدف از انجام این روش، توقف رشد تومور، محافظت از عملکرد اعصاب صورت و حفظ شنوایی می باشد.

در کنار درمان هایی در جهت توقف رشد تومور، یک سری اقدامات از سوی پزشک در نظر گرفته می شود که علائم و عوارض این بیماری از جمله سرگیجه و یا مشکلات مربوط به تعادل را مورد هدف قرار می دهد.

کاشت حلزون و یا سایر روش های درمانی در درمان کاهش شنوایی از سوی پزشک توصیه می شود.

افراد مبتلا به نورینوم آکوستیک باید در مورد این بیماری اطلاعات کسب کنند و در خصوص روش های درمان، با پزشک خود مشورت داشته باشند.

روش های درمان بیماری نورینوم آکوستیک

  • پویش و پیگیری: در مواردی که تومور کوچک بوده، شنوایی قابل قبولی وجود دارد و در پیگیری تومور رشد چندانی ندارد، می توان صبر نمود و بیمار را با تکرار MRI و شنوایی سنجی در فواصل زمانی شش تا دوازده ماه پیگیری نمود. تقریبا در نیمی از موارد در طی پنج سال رشد چشمگیری در  اندازه تومور دیده نمی شود و این افراد بدون درمان خاصی تنها پیگیری می شوند.
  • جراحی: جراحی بهترین راه ازبین بردن کامل تومور می باشد. جراحی با سه رویکر ترانس لابیرنتین، رتروسیگمویید و میدل کرانیال فوسا قابل انجام است. انتخاب رویکرد جراحی با توجه به اندازه تومور، محل آن، باقیمانده شنوایی، وضعیت شنوایی گوش مقابل و تجربه جراح انتخاب می شود. در بیماران NF2 که تومور دوطرفه دارند، هم زمان با رزکسیون تومور در سمت دوم کاشت پروتز شنوایی ساقه مغز انجام می شود تا شنوایی بیمارتا حدی برگردانده شود.
  • گامانایف: نوعی رادیوتراپی است که کابردهای خاص و محدودی دارد. این روش هیچگاه نمی تواند تومور را از بین ببرد و درصورتی که تومور به رشد خود ادامه دهد، جراحی آن بسیار پر عارضه خوهد شد. در موارد خاصی از این روش برای درمان استفاده می شود.
  • درمانهای دارویی: اخیرا درمانهای دارویی برای جلوگیری از رشد تومور پیشنهاد شده اند. متاسفانه این درمانها تاثیر پایدار ندارند و تاثیر آنها موقت بوده و ضمن گرانقیمت بودن، عوارض زیادی نیز دارند. امروزه از درمان دارویی در موارد خاص NF2 برای حفظ باقیمانده شنوایی بطور محدود استفاده می شود.

راه های ارتباطی با دکتر علی محمد اصغری:

شماره های تماس: 22374050 – 22375902

صفحه اینستاگرام: dr_alimohamad_asghari

برای کسب اطلاعات بیشتر به بهترین متخصص گوش و حلق و بینی در تهران مراجعه نمایید.​​​

پاسخ

شانزده − یک =

Call Now Button